Temel Veteriner Histoloji ve Embriyoloji Final 1. Deneme Sınavı
Toplam 20 Soru1.Soru
Osmatik basıncı yaratan eleman aşağıdakilerden hangisidir?
|
Su |
|
Fibrinojen |
|
Kanın şekilli elemanları |
|
Plazma proteinleri |
|
Elektrolitler |
Suyun hücre içine ya da dışına hareketini sağlayan osmotik basınç, plazma proteinleri tarafından oluşturulur. Bu proteinler bazı maddeleri kendilerine bağlayarak taşınmayı kolaylaştırırlar.
2.Soru
Aşağıdakilerden hangisi uyarımları periferden merkeze ileten nöronlardır?
|
Efferent nöron |
|
Afferent nöron |
|
Ara nöron |
|
Bipolar nöron |
|
Unipolar nöron |
Efferent nöron, uyarımları merkezi sinir sisteminden ya da gangliyondan alıp perifere ileten nöronlardır. Bipolar ve unipolar nöronlar, nöronların yapısal özelliklerine bakılarak sınıflandırılır. Ara nöron, merkezi sinir sisteminde duyu ve motor nöronlar arasında iletimi sağlar. Afferent nöron ise uyarımları periferden merkeze ileten nöronlara verilen addır.
3.Soru
Aşağıdaki hücrelerden hangileri merkezi sinir sisteminde en fazla görülen ve en büyük tip nöyrogliya hücreleridir?
|
Astrositler |
|
Oligodentrositler |
|
Ependim Hücreleri |
|
Mikrogliya hücreleri |
|
Schwann hücreleri |
Merkezi sinir sisteminde en fazla görülen ve en büyük tip nöyrogliya hücreleri
astrositlerdir. Doğru cevap A seçeneğidir.
4.Soru
- Dil
- Kulak kepçesi
- Dış işitme kanalı duvarı
- Burun kanatları
Yukarıdaki organlardan hangilerinde elastik kıkırdak bulunur?
Yukarıdaki organlardan hangilerinde elastik kıkırdak bulunur?
|
I ve II |
|
I ve III |
|
I ve IV |
|
I, II ve III |
|
II, III ve IV |
Elastik kıkırdak, kulak kepçesinde, dış işitme kanalı duvarında, burun kanatlarında bulunur.
5.Soru
Pıhtılaşmada görevli plazma proteini aşağıdakilerden hangisidir?
|
Albumin |
|
Fibrinojen |
|
Globulinler |
|
Antikoagülan |
|
Eritrositoz |
Fibrinojen pıhtılaşmada görevli plazma proteinidir
6.Soru
Aşağıdakilerden hangisi kalp kasında kalsiyum depolayan keseciklere verilen addır?
|
Kaveola |
|
Sarkoplazma |
|
Sinoatriyal |
|
Atriyoventriküler |
|
Asetil kolin |
Kalp kası telleri, sarkoplazmik retikulumdan iskelet kası kadar zengin değildir. Sarkoplazmik retikulumun az olmasına karşın, enine tubuluslar iyi gelişmiştir. Enine tubuluslarla uyarımlar ve besinler daha derinlere, miyofibrillerin aralarına kadar iletilirler. Ayrıca kalp kasında sarkolemin invaginasyonuyla (içeriye doğru çöküntü) şekillenen kalsiyum depolayan, kaveola olarak adlandırılan kesecikler bulunur.
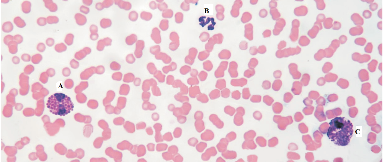
7.Soru
Yukarıdaki resimde memeli kanında granülositlerin türleri hangi seçenekte doğru olarak verilmiştir?
|
A: Eozinofil granülosit B: Bazofil granülosit C: Nötrofil granülosit |
|
A: Eozinofil granülosit B: Nötrofil granülosit C: Bazofil granülosit |
|
A: Bazofil granülosit B: Nötrofil granülosit C: Eozinofil granülosit |
|
A: Nötrofil granülosit B: Eozinofil granülosit C: Bazofil granülosit |
|
A: Eozinofil granülosit B: Nötrofil granülosit C: Pseudoeozinofil granülositler |
Nötrofil Granülositler; granülositler içinde kan frotilerinde en fazla bulunanıdır. Tüm lökositlerin %60-70’ini nötrofil granulositler oluşturur. Çekirdeklerinin çok loplu olmasıyla karakterizedirler. Eozinofil Granülositler; en iri olan granülositlerdir. Organel yönünden fakir olan eozinofil sitoplazmasında spesifik ve azurofilik granüller bulunur. Bazofil Granülositler; Granülositler içinde en az sayıda bulunanıdır. Memelilerde tüm lökositlerin % 0.5-1’ini oluştururlar. Kanatlılarda sayıları biraz daha fazladır (%2). Çekirdekleri genellikle tek loplu, U ya da S şeklinde görülebilir. Bazen iki lopludur. Çekirdek granüllerle kaplanmış bir haldedir.
8.Soru
- Çok çekirdekli
- Tek çekirdekli
- İstemsiz çalışma
- Mekik şekilli
Yukarıdaki özelliklerden hangisi düz kaslara aittir?
|
I ve III |
|
I ve IV |
|
II ve IV |
|
II, III ve IV |
|
I, III ve IV |
Düz kaslar ise; mekik şekilli, çizgilenme göstermeyen hücrelerden oluşur. Düz kaslar da tek çekirdeklidir ve istemsiz çalışır. Kas dokusu embriyoda mezodermden gelişir.
9.Soru
Aşağıdakilerden hangisi erkek dış genital organıdır?
|
Epididimis |
|
Prostat |
|
Skrotum |
|
Testis |
|
Seminal veziküller |
Skrotum dışındaki bütün şıklarda verilen cevaplar erkek iç genital organlarıdır. Skrotum dış genital organdır. Doğru cevap C'dir.
10.Soru
- Dişilerin östrus boyunca kabul edici davranşlarndan sorumludur.
- İkincil cinsiyet özelliklerinin gelişimi östrojenlere bağlıdır.
- Östrojenler, oksitosin ve prostaglandinler gibi uterus düz kaslarının kontraksiyonlarını etkiler.
- Ovaryumda yeni folliküllerin gelişimini ve ovulasyonu engeller.
Östrojenin işlevleriyle ilgili yukarıdaki bilgilerden hangisi/hangileri doğrudur?
|
Yalnız I |
|
I ve II |
|
I, II ve IV |
|
I, II ve III |
|
Yalnız IV |
Östrojenler, dişilerin
östrus boyunca kabul edici davranşlarndan sorumludur. Dişi üreme kanalının
gelişimi ve fonksiyonu, ikincil cinsiyet özelliklerinin gelişimi de östrojenlere
bağlıdır. Östrojenler, aynı zamanda oksitosin ve prostaglandinler gibi uterus düz
kaslarının kontraksiyonlarını etkiler. Östrojenlerin üreme ile ilgili fonksiyonları
dişında iskelet gelişimi, kemik dengesi, yağ bezi aktivitesi, elektrolit dengesi,
kalsiyum ve fosfat birikimi, yağ depolanması gibi konularda da etkileri vardır.
11.Soru
Diyapedez'in sebebi aşağıdakilerden hangisinde doğru olarak verilmiştir?
|
Alyuvar sayısı normal değerlerin üstünde olması durumunda bağ dokuya yerleşmeleri |
|
Akyuvarların işlevlerini yerine getirmek üzere bağ dokuya yerleşmeleri |
|
Akyuvarlar vücudu yabancı maddelere karşı hücresel ve humoral yolla koruması |
|
Patolojik durumlarda kanda akyuvar miktarındaki artış |
|
Dokuların çoğunda hücreler arası boşluğa doku sıvısı ile birlikte bir miktar protein birikmesi |
Akyuvarlar, küçük çaplı kan damarlarının endotel hücreleri arasından göç ederek, kan dolaşımını terk ederler ve işlevlerini yerine getirmek üzere bağ dokuya yerleşirler. Bu geçişe diyapedez denir.
12.Soru
Aşağıdakilşerden hangisi canlı gelişmesini tamamladıktan sonra egzersizlerle kas uzunluğu ve genişliği arttırılması durumudur?
|
Hipertrof |
|
Miyofilaman |
|
Sarkoplazma |
|
Miyofibril |
|
İzotrop |
Kas tellerinin çapları organizma büyüdükçe artar. Canlı gelişmesini tamamladıktan sonra egzersizlerle kas uzunluğu ve genişliği artabilir. Buna kas hipertrofisi denir.
13.Soru
Aşağıdakilerden hangisi ektoderm tabakasından meydana gelir?
|
Çizgili ve düz kas |
|
Dalak |
|
Deri altı bezler |
|
Tonsiller ve timus stroması |
|
Solunum sistemi epiteli |
Ektoderm tabakasından
• Merkezi sinir sistemi (MSS),
• Periferik sinir sistemi (PSS),
• Duyu epitelleri (kulak, burun, göz),
• Epidermis, kıllar ve tırnaklar,
• Deri altı bezler (meme, hipofiz) ve dişteki mine tabakası meydana gelir.
Doğru cevap C seçeneğidir.
14.Soru
Nöroplazmanın akson içindeki bölümüne ne ad verilir?
|
Aksoplazma |
|
Nöroplazma |
|
Akson tepesi |
|
Perikaryon |
|
Telodendron |
Doğru seçenek A şıkkıdır.
15.Soru
Motor nöyron ve kas teline innervasyon sağlayan yapıya ne ad verilir?
|
nöyrogliya dokusu |
|
motor plak |
|
fibröz |
|
protoplazmik astrositler |
|
son ayak |
Motor nöyron ve kas teline innervasyon sağlayan yapıya motor plak (motor ünite) adı verilir.
16.Soru
Aşağıdakilerden hangisi kondrositlerin özelliğidir?
|
Beslenmeyi kolaylaştıran hücresel uzantılara sahiptir
|
|
Kıkırdak matriksinde serbest olarak bulunurlar
|
|
Genç hücreler lipid bakımından zengindir
|
|
Olgun hücreler organellerce zengindir
|
|
Çekirdek içermezler
|
17.Soru
Eşey hücresi olacak ilk hücrelere ne ad verilmektedir?
|
Gonad |
|
Nöral tüp |
|
Vitellus |
|
Primordiyal germ |
|
Fötüs |
Eşey hücresi olacak ilk hücrelere primordiyal germ hücresi denir, dişide ve erkekte gametleri oluşturmak üzere, gelişimin erken dönemlerinde şekillenir ve vitellus kesesi dokusu içinde cinsiyet hücreleri ilk kez ortaya çıkar. Daha sonra gonadlara göç eder, bu göçleri sırasında ve sonrasında mitozla çoğalan hücrelerdir. Doğru cevap D seçeneğidir.
18.Soru
Aşağıda verilen maddelerden hangisi kıkırdak matriksinin oluşumunu ve kıkırdak büyümesini uyarır?
|
Kortizon |
|
Hidrokortizon |
|
Östradiol |
|
Tiroksin |
|
C vitamini |
Tiroksin, testosteron ve somatotropin kıkırdak matriksinin oluşumunu ve kıkırdak büyümesini uyarır. Kortizon, hidrokortizon ve östradiol kıkırdak büyümesi ve matriks gelişimin baskılar. A vitamininin fazlalığı (hipervitaminoz) durumunda epifiziyal plağın kemikleşmesi hızlanır ve kapanır. A vitamininin eksikliği (hipovitaminoz) durumunda epifiziyal plak küçülür. C vitamininin eksikliği durumunda matriks sentezi baskılanır epifiz plağında şekil bozukluğu görülür. D vitamini yokluğunda kalsiyum ve fosfor emilimi yetersizliğine bağlı olarak matriks yeterince kalsifiye olamayacaktır.
19.Soru
Hangisi kanatlı oviduktunun bölümlerinden biri değildir?
|
İnfundibulum |
|
Skrotum |
|
Magnum |
|
İsthmus |
|
Vagina |
Kanatlı oviduktu beş bölgeye ayrılmıştır: İnfundibulum, Magnum, İsthmus, Uterus ve Vaginadır. Doğru cevap B'dir.
20.Soru
I. Ovogonyumların proliferasyonu( insanda yaklaşık 7 milyon primordiyal ovosit oluşur, bu gelişme yaklaşık 5. aya denk gelir.)
II. Primordiyal folliküllerin oluşması, foliküler epitelyal hücrelerce (granüloza hücreleri=GH) sarılmış foliküller olarak ovaryum korteksinde bekler.
III. Profaz-I’de puberteye kadar bekler. Bu aşamaya kadar geçen süreç intrauterin dönemdedir.
IV. Follikül olgunlaşması, postnatal dönemde gerçekleşir.
Yukarıda ovogenezis ile ilgili verilen bilgilerden hangisi/hangileri doğrudur?
|
Yalnız I |
|
Yalnız III |
|
I ve II |
|
I, II ve IV |
|
I, II, III ve IV |
Ovogenezis:
1. Ovogonyumların proliferasyonu( insanda yaklaşık 7 milyon primordiyal
ovosit oluşur, bu gelişme yaklaşık 5. aya denk gelir.)
2. Primordiyal folliküllerin oluşması, foliküler epitelyal hücrelerce (granüloza
hücreleri=GH) sarılmış foliküller olarak ovaryum korteksinde bekler.
3. Profaz-I’de puberteye kadar bekler. Bu aşamaya kadar geçen süreç intrauterin dönemdedir.
4. Follikül olgunlaşması, postnatal dönemde gerçekleşir
-
- 1.SORU ÇÖZÜLMEDİ
- 2.SORU ÇÖZÜLMEDİ
- 3.SORU ÇÖZÜLMEDİ
- 4.SORU ÇÖZÜLMEDİ
- 5.SORU ÇÖZÜLMEDİ
- 6.SORU ÇÖZÜLMEDİ
- 7.SORU ÇÖZÜLMEDİ
- 8.SORU ÇÖZÜLMEDİ
- 9.SORU ÇÖZÜLMEDİ
- 10.SORU ÇÖZÜLMEDİ
- 11.SORU ÇÖZÜLMEDİ
- 12.SORU ÇÖZÜLMEDİ
- 13.SORU ÇÖZÜLMEDİ
- 14.SORU ÇÖZÜLMEDİ
- 15.SORU ÇÖZÜLMEDİ
- 16.SORU ÇÖZÜLMEDİ
- 17.SORU ÇÖZÜLMEDİ
- 18.SORU ÇÖZÜLMEDİ
- 19.SORU ÇÖZÜLMEDİ
- 20.SORU ÇÖZÜLMEDİ