Temel Veteriner Patoloji Ara 12. Deneme Sınavı
Toplam 20 Soru1.Soru
Doku homojenatı ya da ekstraktındaki spesifik proteinin olup olmadığını ve varsa ne kadar olduğunu saptamak için yaygın olarak kullanılan analitik yönteme ne ad verilir?
Doku homojenatı ya da ekstraktındaki spesifik proteinin olup olmadığını ve varsa ne kadar olduğunu saptamak için yaygın olarak kullanılan analitik yönteme ne ad verilir?
|
Spektrofotometri |
|
Eastern Blot |
|
Northern Blot |
|
Southern Blot |
|
Western Blot |
Doku homojenatı ya da ekstraktındaki spesifik proteinin olup olmadığını ve varsa ne kadar olduğunu saptamak için yaygın olarak kullanılan analitik yöntem Western blottur. Doğru yanıt E seçeneğidir.
2.Soru
Aşağıdakilerden hangisi boyamada uyulması gereken kurallardan değildir?
|
Kullanılan antikorların sulandırmalarına dikkat edilmelidir
|
|
Antikor seçiminde serum ve kimyasalların uyumu sağlanmalıdır
|
|
Floresans boyamalar aydınlık bir ortamda gerçekleştirilmelidir
|
|
İstenmeyen reaksiyonlar en aza indirgenmelidir
|
|
Solüsyonlarla işlemler uygun ısıda (+4°C, 37°C) yapılmalıdır
|
3.Soru
Aşağıdakilerden hangisi canlı inceleme yöntemlerinde kullanılan boyalardandır?
|
Alkol |
|
Formol |
|
Tripan mavisi |
|
Cıva |
|
Nötral kırmızı |
Nötral kırmızı, supravital yani organizmadan çıkarılan dokuların boyanması işleminde kullanılan boyalardandır. Cıva, formol ve alkol boyama işlemlerinde değil tespit işlemlerinde kullanılan kimyasal maddelerdendir. Tripan mavisi ise vital özel boyalardandır.
4.Soru
Aşağıdakilerden hangisi içerisinde dokuya ait parçacıkların bulunduğu sıvıdır?
|
Grid |
|
Palpe |
|
Otolit |
|
İskemi |
|
Süspansiyon |
Deneysel çalışmalarda elektron mikroskobik düzeydeki değişiklikleri veya saha çalışmalarında
etkenleri (bakteri virüs, protozoon) saptamak için doku örnekleri alınır. İçerisinde dokuya ait parçacıkların bulunduğu sıvıya süspansiyon adı verilir.
5.Soru
Yunanca'da "Haimato” kelimesi ne anlama gelmektedir?
|
Kan |
|
Odun |
|
Talaş |
|
Boya |
|
Hücre |
Hematoksilen; Yunanca “Haimato”(kan) ve “Xylon”(odun) kelimelerinden türetilmiştir.
6.Soru
Floresansla işaretlenmiş dokuların görüntülenmesinde yüksek çözünürlük sağlayarak üç boyutlu yapısı hakkında fikir veren mikroskop aşağıdakilerden hangisidir?
|
Faz kontrast mikroskop
|
|
Işık mikroskobu
|
|
Geçirimli elektron mikroskobu
|
|
Konfokal mikroskobu
|
|
Polarizasyon mikroskobu
|
7.Soru
Boyama işleminden sonra lam hangi madde kullanılarak kapatılır?
|
Etil alkol
|
|
Parafin
|
|
Ksilol
|
|
Entellan
|
|
Yağlı boya
|
8.Soru
Aşağıdakilerden hangisi hastalığın gelişme sürecinde "hastalığın nedeni" olarak ifade edilen kavramdır?
|
Patogenez
|
|
Etiyoloji
|
|
Yapısal değişiklikler
|
|
Sağkalım
|
|
Klinik Önem
|
9.Soru
Yukarıdaki resimde sonucu görülen boyama tekniği hangisidir?
|
Gram-Weigert Boyası |
|
Ziehl-Neelsen Boyası |
|
Gridley Mantar Boyası |
|
Holzer Boyası |
|
Luxol Fast Blue Boyası |
10.Soru
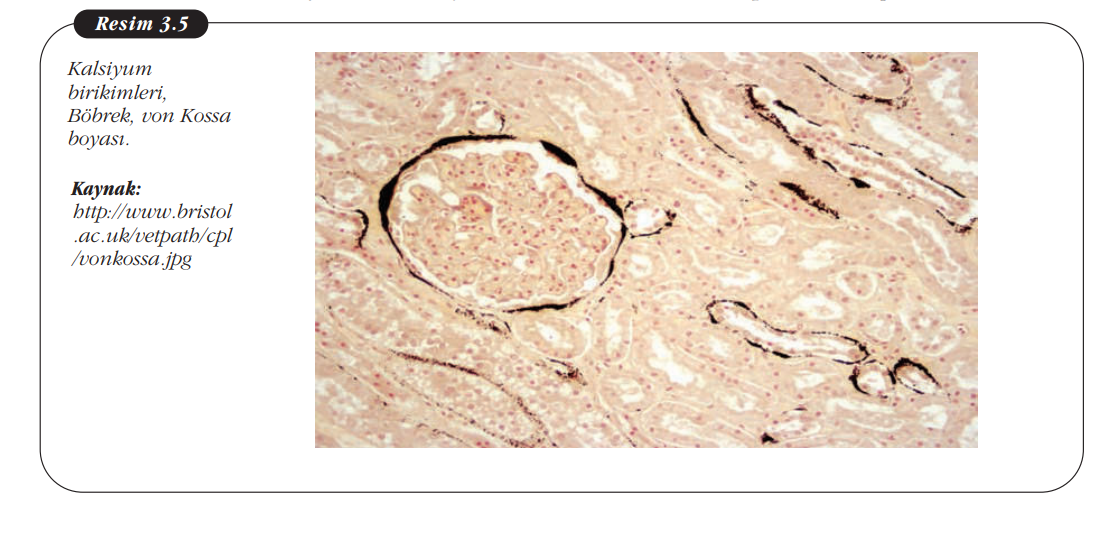
Yukarıdaki resimde elde edilen sonuçlar hangi boyama yöntemine aittir?
|
Holzer Boyası |
|
Ziehl-Neelsen Boyası |
|
Gram-Weigert Boyası |
|
Best’in Carmine (Glikojen) Boyası |
|
Von Kossa Boyası |
11.Soru
Reaksiyon devam ederken gerçek zamanda PCR ürününün saptandığı ve ölçüldüğü PCR çeşidi aşağıdakilerden hangisidir?
|
İn situ PCR |
|
Multiple PCR |
|
Nested PCR |
|
Real time PCR |
|
Reverse transcription PCR |
Real time PCR, klasik PCR esasına dayalıdır, ancak reaksiyon devam ederken gerçek zamanda PCR ürünü saptanır ve ölçülür. Tüm PCR bileşenlerinin yanı sıra PCR amplikonlarını görmek için floresansla işaretli moleküllerden yararlanılır. PCR süresince, amplifikasyon sonrası açığa çıkan PCR ürünlerinin miktarı ile orantılı olarak artan floresans ışıldamasının şiddetinin ölçümüne dayanır.
12.Soru
Aşağıdakilerden hangisi özel boyama yöntemlerinden amiloid boyalarına örnektir?
|
Holzer boyası |
|
Gram-Weigert boyası |
|
Van Gieson boyası |
|
Kongo Kırmızısı boyası |
|
Best’in Carmine boyası |
Amiloidlerin ışık mikroskopisi ile incelenmesinde kullanılır. Kongo Kırmızısı, çözeltilerde kümeleşmeye yatkındır. Boyanın molekülleri arasındaki hidrofobik etkileşimler ? (pi) kümeleşmesine (bir tür kovalent bağ) neden olur. Bu kümeleşme derişik, yüksek tuzlu ve/veya düşük pH’lı Kongo kırmızısı çözeltilerinde daha çok görülür.
13.Soru
Antijenlerle ilgili olarak aşağıdakilerden hangisi doğru değildir?
|
Genellikle protein, glikoprotein ya da lipoprotein yapısındadırlar. |
|
Antijenler, antikorlara epitop veya antijenik belirleyici denilen bir bölgeden bağlanırlar. |
|
Belli bir antijene karşı elde edilmiş antikorlar başka antijenlerle reaksiyona giremez. |
|
Her bir antijen sadece kendisiyle reaksiyona girebilecek antikorlar oluştururlar. |
|
Antijenler, vücutta yapılmalarına ve dışarıdan alınmalarına göre iki grupta incelenirler. |
Organizmada immun yanıt oluşturabilen ve bunun sonucunda kendilerine karşı özel antikor şekillendirebilen maddelere antijen veya immunojen denir. Genellikle bu maddeler protein, glikoprotein ya da lipoprotein yapısındadırlar. Antijenler, antikorlara epitop veya antijenik belirleyici denilen bir bölgeden bağlanırlar ve her bir antijen sadece kendisiyle reaksiyona girebilecek antikorlar oluştururlar. Buna karşılık belli bir antijene karşı elde edilmiş antikorlar başka antijen(ler)le reaksiyona girebilir ki buna da çapraz reaksiyon denir. Antijenler, vücutta yapılmalarına ve dışarıdan alınmalarına göre iki grupta incelenirler.
14.Soru
Kollagen ve kas lifleri gibi anizotropi gösteren yapıların incelenmesinde aşağıdaki mikroskoplardan hangisi kullanılır?
|
Faz kontrast mikroskop
|
|
Polarizasyon mikroskop
|
|
Floresans mikroskop
|
|
Konfokal mikroskop
|
|
Elektron mikroskop
|
15.Soru
Aşağıdaki kimyasallardan hangisi mutasyona neden olabilir?
|
Propidium iyodid |
|
Oksalik asit |
|
Formalin |
|
Ksilol |
|
Ksilen |
Etil alkol
16.Soru
Aşağıdakilerden hangi tip eldivenin patoloji laboratuarlarında kullanılması uygundur?
|
Kalın lastik eldiven
|
|
Nitril eldiven
|
|
Cerrahi lateks eldiven
|
|
Kauçuk eldiven
|
|
Neopren eldiven
|
17.Soru
Hayvanların neden öldüğünü ortaya koymak için ölüm sonrası yapılan incelemeye ne ad verilir?
|
İskemi |
|
Otoliz |
|
Lezyon |
|
Palpasyon |
|
Nekropsi |
Nekropsi: Hayvanların neden öldüğünü ortaya koymak veya deneysel amaçla öldürülen hayvanlardaki bulguları saptamak amacıyla ölüm sonrası yapılan incelemeye denir.
Grekçe'de necro= ölü, leş; opsie= görme sözcüklerinden köken almaktadır.
18.Soru
Masson’un Trikrom Boyaması sonucunda kollagen demetler hangi renge boyanır?
Masson’un Trikrom Boyaması sonucunda kollagen demetler hangi renge boyanır?
|
Koyu kırmızı |
|
Leylak rengi |
|
Açık kırmızı |
|
Sarı |
|
Koyu mavi |
Bu boyama sonucunda kollagen demetler koyu maviye boyanır. Doğru cevap E'dir.
19.Soru
Başlangıç materyali olarak kullanılan, mRNA ve viral RNA gibi RNA hedef dizilerinden, yararlanılan modifiye (kısmen değiştirilmiş) PCR yönteminin ismi aşağıdakilerden hangisidir?
|
Real time PCR
|
|
Multiple PCR
|
|
Nested PCR
|
|
Reverse-Transkripsiyon PCR
|
|
İn Situ PCR
|
20.Soru
Belirli yoğunluklarda sindirim, deri veya solunum yoluyla alındığında ölüme neden olabilen maddeler için aşağıdaki ifadelerden hangisi doğrudur?
|
Hedef organ etkili kimyasallar
|
|
Yanıcılar
|
|
Parlayıcılar
|
|
Oksitleyici maddeler
|
|
Zehirli maddeler
|
-
- 1.SORU ÇÖZÜLMEDİ
- 2.SORU ÇÖZÜLMEDİ
- 3.SORU ÇÖZÜLMEDİ
- 4.SORU ÇÖZÜLMEDİ
- 5.SORU ÇÖZÜLMEDİ
- 6.SORU ÇÖZÜLMEDİ
- 7.SORU ÇÖZÜLMEDİ
- 8.SORU ÇÖZÜLMEDİ
- 9.SORU ÇÖZÜLMEDİ
- 10.SORU ÇÖZÜLMEDİ
- 11.SORU ÇÖZÜLMEDİ
- 12.SORU ÇÖZÜLMEDİ
- 13.SORU ÇÖZÜLMEDİ
- 14.SORU ÇÖZÜLMEDİ
- 15.SORU ÇÖZÜLMEDİ
- 16.SORU ÇÖZÜLMEDİ
- 17.SORU ÇÖZÜLMEDİ
- 18.SORU ÇÖZÜLMEDİ
- 19.SORU ÇÖZÜLMEDİ
- 20.SORU ÇÖZÜLMEDİ